Cosmetic Dentistry  - Cerec

Do you have damaged, discoloured or problem teeth? If so then you might wish to consider Cosmetic Dentistry.

 

At Bowling Green Dental Surgery, we are able to restore damaged teeth in a single appointment. This is as a result of new technology which helps us to diagnose problems earlier, thereby allowing us to treat problems sooner and with less invasive techniques.

 

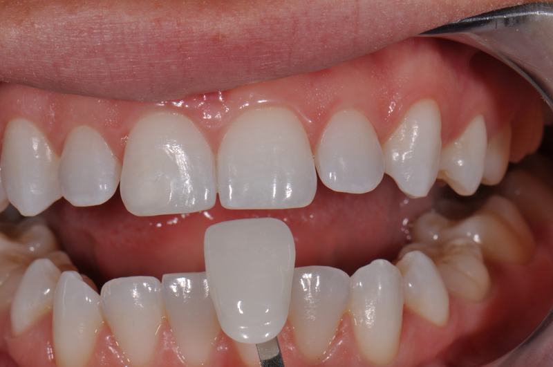
Our practice offers the latest in comfortable, convenient dentistry with our Cerec tooth restoration system. Using the Cerec equipment, we can now complete a colour-matched ceramic tooth restoration to replace missing or broken teeth in a single visit using a variety of methods. Cerec is used worldwide and gives you the highest quality restorative care.

 

For you the patient, this means fewer injections, less drilling and less time out of your schedule for dental care.

 

What is Cerec?

CERC (Chairside Economical Restoration of Esthetic Ceramics, or Ceramic Reconstruction). This means that a dentist can econimically restore damaged teeth in a single appointment, using a high-quality ceramic material that matches the natural colour of other teeth.

 

White Fillings

 

White fillings allow us to restore decayed or broken portions of your teeth almost invisibly. This helps our ability to improve your smile. White Fillings are suitable for use in front and most back teeth. Elimination of unsightly areas of decay or discolouration will enhance your confidence to smile.

 

Our white fillings are chemically bonded to your tooth and are created from layers of different colours of filling material which allows a close match to the natural shape and colour of your own teeth. They provide a more visibly appealing alternative to silver amalgam fillings as a result.

 

Crowns

When a tooth is badly damaged or has been root treated, a crown can be the only option to restore it. Crowns are often a better solution for more severe dental problems. Very often, a combination of Crowns, Veneers and Bridgework can be the best approach to a more attractive smile.

 

Crowns are available in a few materials. We have expert and reliable laboratories that make our crowns specifically to our instructions. Whether we are replacing a simple bonded crown or making cosmetic all ceramic crowns, the highest standard of Cerec materials and techniques are employed. They are the most natural dental restorations that eliminate the dark lines sometimes associated with crowns.

 

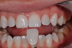
Veneers

Dental veneers are wafer-thin, custom-made shells of tooth-coloured materials designed to cover the front surface of teeth to improve your appearance. These shells are bonded to the front of the teeth changing their colour, shape, size or length. They can be made from porcelain or from resin composite materials.

 

Porcelain veneers resist stains better than resin veneers and better mimic the light reflecting properties of natural teeth. Resin veneers are thinner and require removal of less of the tooth surface before placement.

 

What Types of Problems Do Dental Veneers Fix?

 

·     Teeth that are discoloured.

·     Teeth that are worn down.

·     Teeth that are chipped or broken.

·     Teeth that are misaligned, uneven, or irregularly  shaped.

·     Teeth with gaps between them (to close the space  between these teeth).

 

 

Call us now for a consultation on 01438 355624, email us

Adev979@aol.com or complete our contact form.

Making an appointment:

Tel:

01438 355624

 

E-mail:

Adev979@aol.com

 

Address

Bowling Green Dental Surgery

26 High Street 

Stevenage SG1 3EJ

 

You can also use our contact form.

 

Opening hours

Monday - 9am - 5pm

Tuesday - 9am - 5pm

Wednesday 9am - 5pm

Thursday 9am - 5pm

Friday 9am - 1pm

Saturday - Morning appointments available on request. 

 

If you have a problem outside our opening hours, please see the emergency plan.

 

Print | Sitemap
© Bowling Green Dental Surgery Ltd